현재접속자 0 최근게시물 발품노트
알림 0
쪽지 0
  • KR
  • EN
최근 검색어
닫기

성형관련수다방

성형과 관련된 자유로운 글을 작성하세요! 성형과 관련 없는 글은 "익명수다방" 게시판을 이용해주세요.
이전글  다음글  목록 글쓰기
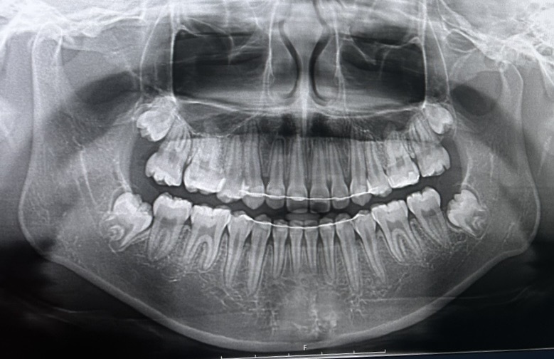
[안면윤곽지방]

신경선 낮아? 안면윤곽 효과 있을지 봐주라ㅠㅠ

초코첵스 2025-10-05 (일) 13:25 15시간전 198 [CODE : 1C31C]
https://sungyesa.com/new/free/6212134


신경선 낮은지좀 봐주라ㅠㅠ 그리고 광대도 깎으면 효과 있을거같아? 사각턱도 많이 자를 수 있으려나
Written by
App

[공지] 본 게시판의 가입인사, 등업문의는 자동 삭제 및 패널티 부과
[공지] 후기글 작성은 성형후기 게시판 이용
[공지] 댓글로 복수 또는 단독 병원 추천은 대부분 바이럴 입니다.

부르링 11시간전 11시간전 [CODE : 175B2]
주소 https://sungyesa.com/new/free/6212554
Iopoop 8시간전 8시간전 [CODE : D8980]
주소 https://sungyesa.com/new/free/6212783
20 글자 이상 작성, 현재 0 글자 작성
이전글  다음글  목록 글쓰기
병원찾아삼만리
4.1
평가참여 240
|
의견참여 240
병원정보
의사정보
마취과
코성형
쌍커풀
안면거상
가슴확대
가슴축소
대표Dr.
김재우
대표Dr.
옥재진
외 6명
등록의료진
등록병원
포토&후기
눈수술수술후기 댓글 0 조회 16 좋아요 0
쌍수 절개 첫날인데 눈이 안감길수도 있나 라인 인아웃은 아니고 낮은 세미아웃이야 시간상으로는 12시간쯤 지났네. 수술하고나자마자 회복실에서 눈 한쪽이 다 안감겨서 눈감았는데도 빛이 들어오더라고. 회복실에 온 선생님께 말씀드렸는데 괜찮아질거라고하는데 너무 걱정되어서 물어봐 지금은 더 부어서 눈감아도 살짝 앞이 보여 그래서 자려고 하는데도 빛이 들어와서 잠이 잘 안들었어. 지금은 잠깐 깼는데 너무 걱정되어서 잠이 다시 안오네 지금은 붓기가라앉…
49분전
체형/바디성형수술후… 댓글 0 조회 173 좋아요 0
안녕 나는 초고도 비만이었고 이대로 살 수 없을것같아서 복부 무한람스함. 결론은 대만족이고 나 30대중반인데 이런 몸을 가질수 있을거란 생각? 안해봄.. 아니 못해봄 벌써 4개월 다되가네ㅎㅎ 100kg넘게찍고나서 무한람스하고 현재까지 -12kg 감량함 시술직후에 빠진 지방도 보여주거든? 빠진 지방을 보니 살을 안뺄수가 없겠더라 그리고 실장님이 체중 무조건빼야 효과많이 본다고 자기믿고 체중도 꼭 감량해보라고해서 체중도…
4시간전
가슴성형수술후기 - 디테성형외과의원 댓글 1 조회 256 좋아요 0
수술한 지 벌써 일주일이 되어가는데요. 저는 흉곽도 넓고 등도 넓은편이라 멘엑350씩 넣었고, 지금 사이즈에 딱 만족 중이에요. 근막하 밑절로 진행했습니다 겨드랑이 주름이 없는편이라 겨절하고싶었는데 흉이 많이보일거라고 하시더라구요 당일에는 너무 긴장돼서 정신이 없었는데, 수술실 들어가기 전에 간호사분들이 친절하게 설명해주셔서 마음이 한결 편해졌고, 마취 선생님께서도 차분하게 안심시켜주셔서 덜 무서웠어요. 수술은 눈 감았다 뜨니까 끝나있었고, 회복실…
5시간전
체형/바디성형수술후… 댓글 0 조회 150 좋아요 0
딱붙는 글램룩 스타일을 고수하는 편이였는데 어느샌가부터 그런 옷들이 복부사이즈때문에 안들어가기도 하고 어울리지도 않아지니 .. 널널한 박스티만 입는 내가 있더라고 그래서 복부지흡을 몇년동안 고민만 하다가 상담받고 수술날짜까지 질러버리고 왔어 발품을 엄청 팔고 다니는 스타일은 아니라서 걍 안전빵으로 젤 유명한데서 했음 요번에 실밥제거 하고 왔는데 붓기가 아직 많이 덜 빠진 상태래 근데 내 눈에는 복부 사이즈가 이미 확 줄어들어…
6시간전
양악/교정/치과 - 스마일민치과교정과치과의원 댓글 2 조회 121 좋아요 0
상악이 덧니가 하나 심하게 있었고 하악은 전체적으로 부정교합이 심했는데 외관상으로 특성있어 보일 정도긴 해서 (친구들은 도깨비 닮았다고 좋아했음) 크게 심각한 치아는 아니었음 그런데 턱이 아주 살짝 주걱턱처럼 튀어나와서 외모정병자기 때문에 윤곽이나 양악으로 깎고 싶었는데 혹시 몰라 1차로 교정을 해봤는데 주걱턱 교정되어 너무너무너무 행복함 턱에 컴플렉스 있으면 교정 먼저 해보길 ㅊㅊ (참고로 비발치임) 아 근데 대인기피증 …
7시간전
눈수술수술후기 - 우리성형외과의원 댓글 1 조회 135 좋아요 0
눈밑지방 부족해서 다크서클처럽 보이고 항상 피곤해보이시는 분 눈밑지 너무너무 추천드립니다 !!!!!!!!! 만족도 제일 높은 수술이에요 직접 봐도, 사진으로 봐도 하 너무 행복합니다 !! 저는 선천적으로 얼굴에 지방이 없고 돌출눈이라 2차 지방이식도 할 걸 그랬어요 후회중입니다 ㅠ 저처럼 지방이 많아 없으신 분은 꼭 2차까지 곰곰히 생각해보고 하세요 ! 저는 대표원장님께 받았습니당
8시간전
코성형수술후기 댓글 0 조회 226 좋아요 1
10년전 한창 자려한 코를 잘한다는 강남역 ㅌ 성형외과에서 당시 패이닥터였던 원장에게 코수술을 받음. 비중격이 많아서 귀연골 안써도된다고했는데 알고보니 기증늑도 사용한 케이스였던걸 재수술 발품팔러다니면서 10년만에 알게됨. 그리고 당시 너무 징질이코처럼 길게 빠져서 재수술 상담을 같은병원에 받으러 갔지만 해당 원장은 이미 그만둔뒤라고 해서 당황.. 대표원장이 다행히 재수술 맡아줬는데 그뒤로 약 6개월간 붉어지고 뜨거워지는 염증에 시달림. 모양은 문제없었…
8시간전
눈수술수술후기 댓글 1 조회 240 좋아요 0
안녕 예사들아~!! 나름대로의 재수술 성공 이야기를 좀 해볼까 해서 ㅋㅋ 후기 쪄봄 난... 일단 10년전에 고등학생시절 첫 쌍수를함 근데 그때는 진심 쌍수하면 세상이 달라질줄알앗음 다른 병원보다 지역에서 가장 저렴하다는 이유 + 엄마취향 화려한 눈 강력어필로 인해 절개에 앞트임까지 풀로 해버린 나의 불쌍한 첫 수술 눈... 사실 내가 좀 더 알아봣어야햇고 추구미를 좀 고민해봣어야 했는데 넘 어렸고 정보도 없었어 ㅜㅜ 특) 100만원이 …
8시간전
눈수술수술후기 댓글 2 조회 266 좋아요 0
첫 쌍수 비대칭 소시지돼서 재수 각보다가 부산에서 연휴에 하게됨 하는김에 눈교랑 뒷트임도 함 근데 첫수술이랑 다르게 멍이 엄청 들어서 라인이랑 전체적인 느낌이 어떤지 감이 안잡힘;; 멍이 첫날이랑 거의 똑같고 빠질 기미가 안보이는데 멍 도대체 언제빠져?? 뒤트임은 아직 모르겠지만 만족중인데 쌍수 라인이 어떤지 모르겠어.. 눈교해야한다고 하던데 난 부리부리한 눈 싫다고 과하게는 절대 싫다했음 근데 지금 멍때문인지…
9시간전