




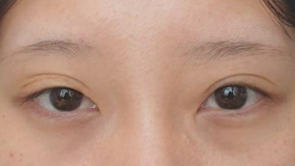
첫 쌍수에 절개 진행했었는데 이번에 재수술로 자연유착 성공했다!!!
한쪽눈에 겹주름이 지고 라인이 두꺼워 엄청 부담스런 눈이었는데 ㅠ
재수 받고 스트레스도 없어지고 라인도 깔끔하게 정리되서 진짜 뿌듯해..!
첫수에 절개 했는데 그때보다 더 라인이 짱짱하게 잘 유지되는거 같아서
노원장님이 정말 신경 많이 써주신거 같아~~~
자려보단 화려에 가까운 스타일 좋아하고 그만큼 이쁘게 빼주신듯..!
진짜 눈 전문 병원 피알 꼭!! 강추야!!!
이 후기는 화려함을 추구 하는 수술후기 입니다.
눈재수술 // 자연유착 재수술, 눈매교정, 뒤트임, 밑트임