현재접속자 0 최근게시물 발품노트
알림 0
쪽지 0
  • KR
  • EN
최근 검색어
닫기

눈성형 수술후기

이전글  다음글  목록 글쓰기
[기타 ]

눈수술시 가장 많이 고려한 건 자연미

엄마는강하다 2025-10-10 (금) 15:22 15일전 931
https://sungyesa.com/new/d03/708681
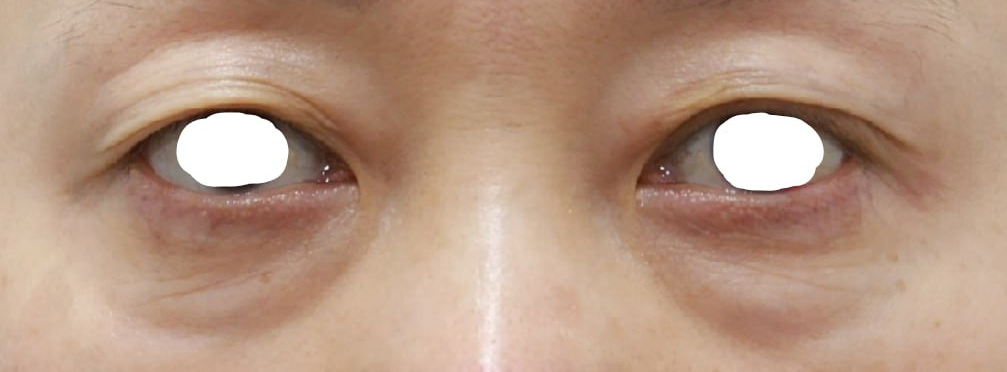
수술전

<수술전>


수술후

<수술후>


50대 초반 나이가 되니 젋었을때 애교살이 모두 주름이 되어 이제 정말 나이 들어가는구나...
거울 볼 때마다 느껴졌어.

올해는 큰 결심하고 병원을 여기저기 알아보다가 1년 만에 찾은 성형외과는
아이핏성형외과!

눈만 전문으로 하는 병원이고 원장 선생님이 유튜브로 얼굴만 봐도 아주 섬세하게 잘 해줄 것 같다는 생각

후기에 보니 상담이 아주 디테일 하다는 점이 마음에 들었어!

역시 병원 상담 가보니 내 생각대로 간호사분, 실장님, 원장님 모두 친절하였고
막상 수술할 날짜가 다가오자 또 망설여졌지만 지금 아니면 못할 것 같다는 생각에 마취하고 한숨 자고 일어나니 수술완료!

일주일 동안 퉁퉁부어 있었지만 병원에서 준 아이스 안대 계속하니 할만하다는 생각이 들었어.

수술 한지 지금은 벌써 2개월 지났지만 주름이 자연스럽게 없어진 것 같아 만족하고 있어!

망설이면 시간만 지나가니 아이핏성형외과 적극추천!!!
(디테일한 상담의 장점을 최대한 살려 요구사항 디테일 하게 생각해 갈 것!)
Translating
이 후기는 자연미를 추구 하는 수술후기 입니다.
수술명
눈썹하거상,하안검
연령대
50대이상여성
경과일
60 일
비용
580 만원
병원정보
서울 강남구 강남대로 596 7층 701호
의사정보
성형외과 전문의 , 대표원장
아이핏성형외과의원
커뮤니티 최근 후기
174
눈수술 수술후기
2023-11-22
예지위함
+ 2
+ 4
눈수술 수술후기
2025-10-10
엄마는강하다
+ 1
눈수술 수술후기
2025-09-22
eldspc
눈수술 수술후기
2025-09-18
성새별
+ 5
눈수술 수술후기
2025-08-31
잘생긴삶
+ 8
눈수술 수술후기
2025-08-22
뾰잉뽀잉잉
+ 1
눈수술 수술후기
2025-08-14
jknm01
+ 4

[눈성형] 눈재수술에 진심인 유니크성형외과
#소세지라인 #비대칭 #풀린눈 #라인높이기 #두줄따기
유니크성형외과 서울 잠원동 9,570,073
1,800,000
[눈성형] 탑페이스 "인생 쌍꺼풀"
첫수술로 한번에! 빛나는 눈매 완성 탑페이스성형외과 '인생 쌍꺼풀'
탑페이스성형외과 서울 신사동 2,710,489
429,000
이 영역은 병원에서 등록한 광고 영역입니다.
ⓘ 광고

댓글 0건
hi
이전글  다음글  목록 글쓰기