현재접속자 0 최근게시물 발품노트
알림 0
쪽지 0
  • KR
  • EN
최근 검색어
닫기

윤곽/FACE 수술후기

이전글  다음글  목록 글쓰기
[기타 ]

광대 턱끝 윤곽핀제거 했어요

참치케찹네즈 2025-10-29 (수) 13:40 11시간전 101
https://sungyesa.com/new/d04/317038



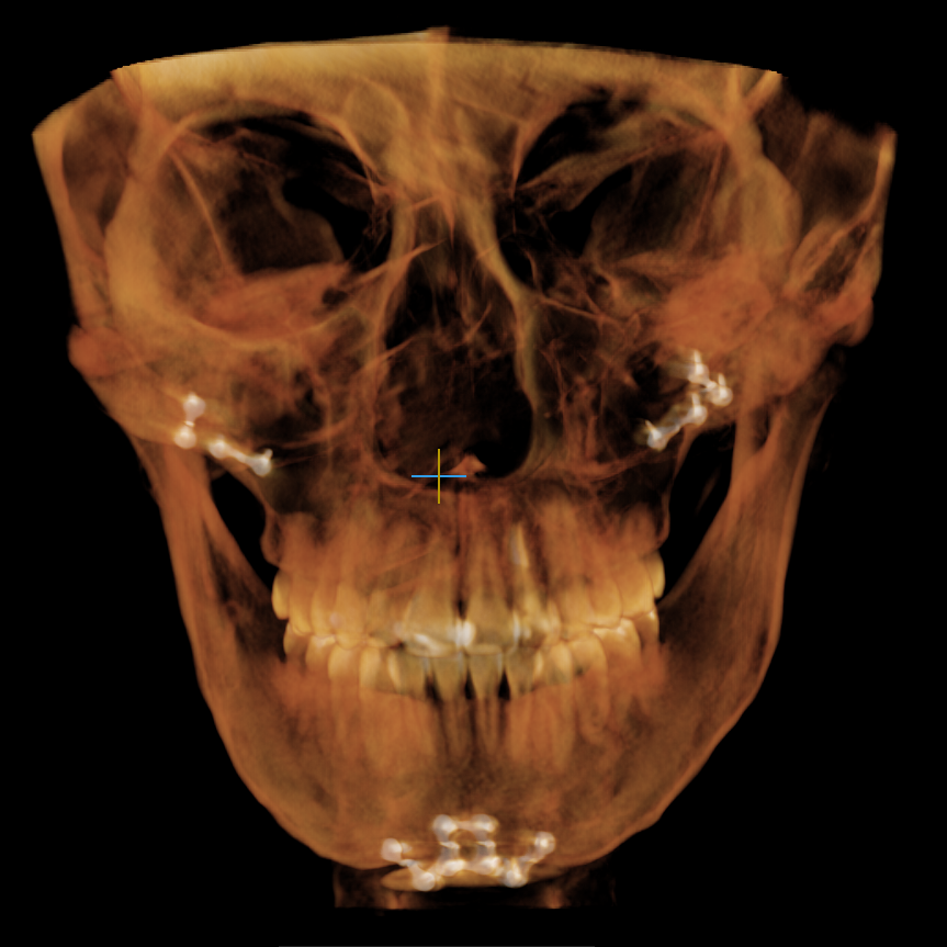
윤곽수술 후에 특별히 불편한 점은 없었지만, 3년이라는 시간이 지나면서 핀제거를 해야 할 시기가 된 것 같아 고민을 시작했어요 더 늦으면 안될거 같아서,,, 여러 병원을 알아보다가, 아크성형외과가 후기도 가장 많고 윤곽 핀제거로 유명해서 상담을 받아봤습니다.

상담을 세 군데 정도 다녀봤는데, 김도원 원장님 상담이 제일 신뢰가 갔어요. 다른 곳은 조금 부담스럽게 진행을 유도하는 느낌이 있었는데, 이곳은 전혀 그런 게 없었고 제 상태를 객관적으로 설명해주셨어요. 특히 원장님이 직접 사진과 CT를 보면서 핀 위치와 제거 방법을 세세하게 알려주시니까 불안감이 많이 줄었습니다.

수술 당일에도 긴장했는데, 생각보다 짧은 시간에 끝났고 통증도 거의 없었어요. 붓기나 멍도 심하지 않아서 놀랐습니다. 회복이 정말 빨라서 3일 차부터는 마스크 쓰고 출근할 정도였어요. 주변에서는 아직 수술한지도 모를 정도로 자연스러웠답니다.

윤곽 핀제거 후에 혹시나 불편한 점이 있을까 걱정했는데, 병원 측에서 수술후에도  꼼꼼하게 체크해주시고 김도원 원장님도 직접 회복 상태를 확인해주셔서 안심됐어요. 지금은 턱라인도 훨씬 부드러워지고, 얼굴 전체적으로 묵직한 느낌이 사라져서 정말 만족합니다. 고민하시는 분들께 자신 있게 아크 추천드려요!
Translating
이 후기는 재건을 추구 하는 수술후기 입니다.
수술명
윤곽핀제거 (광대+턱끝 핀제거)
병원정보
서울 서초구 사평대로 368 듀오신논현 9층
의사정보
성형외과 전문의
아크성형외과의원
커뮤니티 최근 후기
78
남자성형 후기
2025-01-16
HIIIIIIIY
+ 5
윤곽/FACE 수술후기
2024-04-26
좋은날이네
+ 7
윤곽/FACE 수술후기
2025-10-29
참치케찹네즈
+ 2
윤곽/FACE 수술후기
2025-10-28
마로니쨩
+ 2
윤곽/FACE 수술후기
2025-10-10
리너
+ 5
윤곽/FACE 수술후기
2025-10-10
나땡이
눈수술 수술후기
2025-10-01
오예예오
+ 1
윤곽/FACE 수술후기
2025-09-18
양말도깨비
+ 5
윤곽/FACE 수술후기
2025-09-18
킹킹키키키키밈밈
+ 5

[윤곽성형] 서울페이스21 사각턱수술
#사각턱 #사각턱축소술 #안면윤곽 #윤곽수술
서울페이스21치과병원 서울 역삼동 399,799
3,180,000
[윤곽성형] 기린 광대축소
리프팅 고정법에 최적화된 기린만의 절골법 사용으로 볼처짐, 불유합 등 부작용 방지! 기린 광대축소술…
기린성형외과 서울 서초동 1,369,070
1,650,000
이 영역은 병원에서 등록한 광고 영역입니다.
ⓘ 광고

댓글 3건
호호호호호로로로로롱 2025-10-29 (수) 14:40 10시간전
주소 https://sungyesa.com/new/d04/317042
* 비밀글 입니다.
     
     
참치케찹네즈 작성자 2025-10-29 (수) 15:00 9시간전
주소 https://sungyesa.com/new/d04/317048
* 비밀글 입니다.
Oddly 2025-10-29 (수) 20:39 4시간전
주소 https://sungyesa.com/new/d04/317066
윤곽하고 나면 핀을 나중에 사후적으로 제거해야하나요?
hi
이전글  다음글  목록 글쓰기