현재접속자 0 최근게시물 발품노트
알림 0
쪽지 0
  • KR
  • EN
최근 검색어
닫기

눈성형 수술후기

이전글  다음글  목록 글쓰기
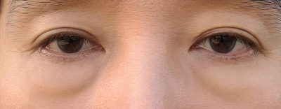
[상하안검]

젊고 생기있는 모습으로

gjuusol102 2025-10-22 (수) 16:36 14시간전 59
https://sungyesa.com/new/d03/710442



어느순간부터 눈밑이 불룩하게 나와 있어서 원래 나이보다 더 들어보이는 건 기본이고 사람이 우울해 보여서 눈밑 수술 했어.
나는 눈밑지 해야 할 줄 알았는데 나이가 좀 있다 보니 하안검을 하라고 하더라고?
눈밑 관련 수술 잘 하는 병원에서 하는 거니까 믿고 하안검 했는데 나이 들어보이는 느낌이 싹 사라지고 고랑 쪽도 깔끔하게 정리가 됐더라
흉터 걱정도 많이 했는데 흉터도 아예 티도 안 나고 주변에서도 젊어진 것 같다고 말해줘서 마음에 들어.
ㄹㅇ장에서 수술 하길 잘 한 것 같아.
Translating
이 후기는 자연미를 추구 하는 수술후기 입니다.
수술명
하안검
연령대
비공개
비용
143 만원
병원정보
리엔장성형외과의원

[눈성형] 스웨이 자연유착 쌍꺼풀
스웨이 강민석 대표원장의 자연유착 쌍꺼풀 이벤트
스웨이성형외과 서울 논현동 6,773,631
539,000
[눈성형] 예쁜 듀얼락 세미아웃 눈성형
예쁜 듀얼락 세미아웃 눈성형
나나성형외과 서울 청담동 1,461,781
319,000
이 영역은 병원에서 등록한 광고 영역입니다.
ⓘ 광고

댓글 0건
hi
이전글  다음글  목록 글쓰기