현재접속자 0 최근게시물 발품노트
알림 0
쪽지 0
  • KR
  • EN
최근 검색어
닫기

눈성형 수술후기

다음글  목록 글쓰기
[기타 ]

눈썹하거상

가족대박 2025-10-02 (목) 04:34 1시간전 17
https://sungyesa.com/new/d03/707921
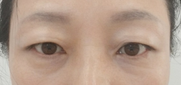
수술전 사진

<수술전 사진>


수술후 사진

<수술후 사진>


안녕하세요
강남오브제성형외과 박시현원장님께 눈썹하거상 수술은 받은지 2개월차 입니다
40대 후반부터  눈꺼풀이 쳐져 원래있던 자연스러운 쌍꺼풀이 보이지 않고 눈이 작아져 보여 속상해 있던차 지인의 소개로 눈썹하거상 수술을 결심하게 되었습니다
큰 마음을 먹고 수술한 후 지금은 만족도가 아주 좋습니다 거울을 볼때마다 속상했던 눈이 커지고 자연스러운 쌍꺼풀이 보여 자신감도 생기고 주변에서도 많이 젊어 보인다고 이야기 합니다
친절하고 깨끗한 시설을 가지고 지하철역과 가까운 병원 위치. 수술할때 편안하게 집도 해 주신 박시현 원장님께 다시 한번 감사합니다
Translating
이 후기는 자연미를 추구 하는 수술후기 입니다.
수술명
눈썹하거상
연령대
50대이상여성
경과일
62 일
비용
130 만원
병원정보
오브제성형외과
박시현

[눈성형] PR 실밥제거 없는 하트트임
자연스러우면서도 확실한 변화 , 하트트임으로 러블리한 눈매로 변신 - !
PR성형외과 서울 논현동 562,181
390,000
[눈성형] 자연주의❤눈재수술
눈재수술을 알아보신다면, 자연주의는 필수 코스!
자연주의성형외과 서울 논현동 1,202,628
869,000
이 영역은 병원에서 등록한 광고 영역입니다.
ⓘ 광고

댓글 0건
hi
다음글  목록 글쓰기