성형수다
포토후기
병삼이
Life
실견적
이벤트
[눈매교정] 눈매교정+절개 후기 입니다!!
쿠쿠더스
작성 25.10.01 21:07:45 조회 46
병원정보보기
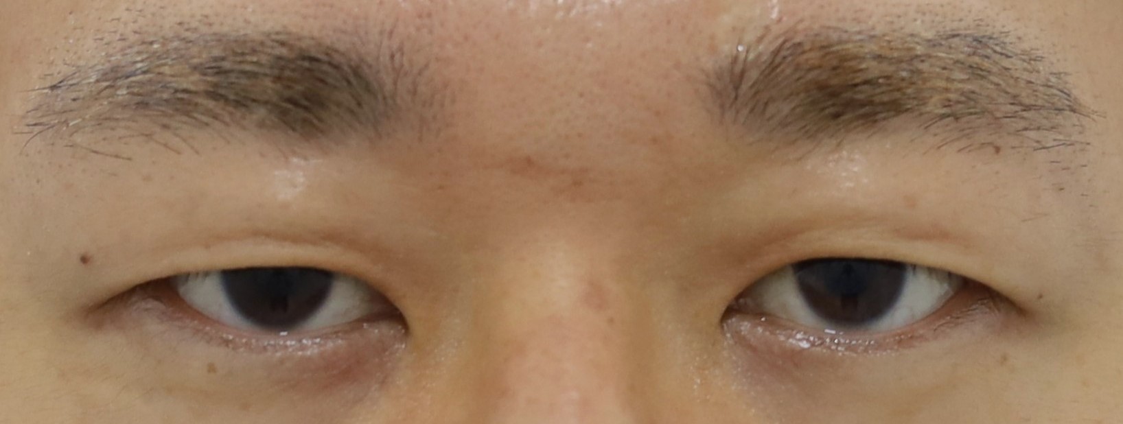
전

<전>


후

<후>


눈매교정 + 절개 수술 전후 사진 입니다 !
훌륭성형외과 김효동 원장님한테 수술 받았어요 !
위에가 전이고 밑에가 후에요! 넘 자연스럽게 트인것 같아서 정말정말 맘에들어요!
다들 못알아보게 자연스럽게 트이고 이뻐진것 같아서 넘 만족 합니다!!
원장님이 자신있게 잘할 수 있는 눈이라고 진행해주셔서 걱정없이 믿고 수술했습니다! 덕분에 더 부담없이 잘 할 수 있었던것 같아용
회복도 되게 빨랐고 다음 날에 출근해도 다들 모를정도로 회복력이 좋았어요 ! 직원분들도 다들 너무 친절하셔서 다음에 다른걸 하러 또 가고싶을 정도입니다!
감사합니다!!김효동 원장님!
병원정보
훌륭성형외과의원
서울 강남구 강남대로 378 준빌딩 13층
의사정보
Dr. 김효동
성형외과 전문의
수술명
눈매교정+절개
연령대
30대남성
경과일
90 일
비용
198 만원
이 후기는 자연미를 추구 하는 후기 입니다.
쿠쿠더스님의 게시글 더보기
훌륭성형외과의원
포토&후기
63
MORE
8
눈수술
25-01-06
ㅅH롬ㅁㅣ
+ 3
눈수술
25-10-01
쿠쿠더스
+ 1
눈수술
25-10-01
그누구보다열심
+ 1
눈수술
25-09-30
미주라고주라
+ 1
1
눈수술
25-09-29
김대왕도토리
+ 1
눈수술
25-09-29
인사하고사라져
+ 1
2
눈수술
25-09-26
새벽2시아슈크림
+ 1
+ 1
3
눈수술
25-09-24
내게는소중해
+ 1
3
눈수술
25-09-15
토킹젤리
+ 1
[눈성형] 마블 쌍커풀 이벤트
#눈성형#눈수술#매몰 #쌍수#자연유착 #절개 #눈재수술 #비절개 #쌍꺼풀
마블성형외과 서울 서초동
649,000
[눈성형] 차이 듀얼앞트임
절개트임, 앞트임, 윗트임, 몽고트임, 몽고주름제거
차이성형외과 서울 역삼동
1,089,000
병원 이벤트 더보기
이 영역은 병원에서 등록한 광고 영역입니다.
ⓘ 광고
병원찾아삼만리
포토&후기
데이터삭제중
|
PC버전
|
로그인
|
문의및제휴
SUNGYESA
광고제휴sungyesacom@gmail.com
0
회원가입
쪽지
포인트
스크랩
  성예사
  커뮤니티
  성형후기
  평판찾아삼만리
  병원&닥터
  전문의상담
  성형자료실
로그인