LOGIN
발품노트
SUNGYESA
최근 검색어
닫기
성형수다
포토후기
병삼이
Life
실견적
이벤트
성예사
>
눈수술 수술후기
목록
쓰기
[기타 ]
아이핏 성형외과 쌍커풀 + 눈밑지 + 눈매교정 후기
슬쩍쿵
작성
25.11.14 14:34:37
조회
57
글주소
https://sungyesa.com/new/d03/713819
포토&후기
눈수술 수술후기
기타
병원정보보기
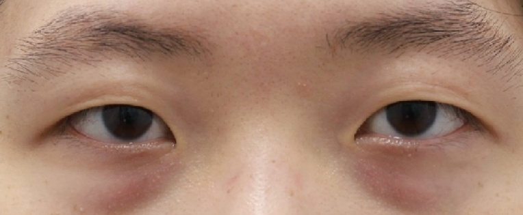
수술한지는 한 달 정도 지났습니다.
자연스럽게 낮은 라인을 요청드렸고,
상담 때부터 실장님 원장님 친절하게 봐주시고 라인 열심히 잡아주셨습니다.
요청드린데로 자연스럽게 잘 잡힌 것 같습니다.
상담할때부터 원장님이 직접 라인 상세히 잡아주시기 때문에, 눈 수술 고려하시는 분은 방문해보면 좋을 것 같네요.
좋아요
0
공감이모티콘
스크랩
+
0
병원정보
아이핏성형외과의원
서울 강남구 강남대로 596 7층 701호
의사정보
Dr. 김채민
성형외과 전문의
수술명
비절개쌍커풀+눈밑지+눈매교정
연령대
20대남성
경과일
30 일
비용
300 만원
이 후기는 자연미를 추구 하는 후기 입니다.
슬쩍쿵님의 게시글 더보기
아이핏성형외과의원
포토&후기
총
176
건
MORE
자려한 세미아웃 3달차! (자연유착,앞트임,눈매교정,눈밑지)
1226
눈수술
24-02-18
오리얏
+ 4
화려한 세미아웃라인, 한달하고 15일!
1009
눈수술
23-11-22
예지위함
+ 2
아이핏 성형외과 쌍커풀 + 눈밑지 + 눈매교정 후기
눈수술
25-11-14
슬쩍쿵
+ 3
자연유착 + 눈밑지 후기
눈수술
25-11-03
나와바링
+ 1
쌍수 + 안검하수 눈매교정 + 앞트임 당일 - 1주 - 한달 경과
1
눈수술
25-10-28
zhongzheng
+ 3
(남자) 비절개 눈매교정 + 앞트임 한달차 후기
눈수술
25-10-16
완수
+ 4
눈수술시 가장 많이 고려한 건 자연미
눈수술
25-10-10
엄마는강하다
+ 1
아이핏에서 눈재수술 후기
1
눈수술
25-09-22
eldspc
쌍수 매몰+앞트임 6개월 후기 (만족도 100000%)
1
눈수술
25-09-18
성새별
+ 5
아이핏성형외과 남자 쌍수 앞트임
눈수술
25-08-31
잘생긴삶
+ 8
최근 후기 더보기
(
10
/
176
)
아이핏성형외과의원 후기 전체 보러가기
[눈성형] 눈매교정+쌍꺼풀을 한번에, 하이엔드 눈성형 42.9
졸린 눈, 답답한 눈 이제는 안녕 눈매교정과 쌍꺼풀을 두마리 토끼잡자 눈도 하이엔드야!
하이엔드성형외과 서울 서초동
429,000
원
[눈성형] 워나성형외과 첫눈성형
눈성형이 처음이라면, 내 첫 쌍수는 워나에서
워나성형외과 서울 서초동
649,000
원
병원 이벤트 더보기
이 영역은 병원에서 등록한 광고 영역입니다.
ⓘ 광고
이전ㆍ다음글LIST
MORE
라인처짐짝짝이드레스에서재수술받음
눈재수술
11-14 14:55
77
+5
0
댓글
쌍수하나만으로도효과는정말좋은거같아
자연유착
11-14 14:47
72
+2
1
댓글
아이핏성형외과쌍커풀눈밑지눈매교정후기
기타
11-14 14:34
57
+3
0
댓글
호메절개눈매교정했는데괜찮게된것같지ㅋㅋㅋ
쌍꺼풀절개
11-14 14:33
63
+3
0
댓글
울엄마눈밑지상안검너무잘돼서후기올려봄
상하안검
11-14 14:05
71
0
댓글
병원찾아삼만리
MORE
포토&후기
MORE
데이터삭제중
|
PC버전
|
로그인
|
문의및제휴
SUNGYESA
광고제휴
sungyesacom@gmail.com
로그인 해주세요.
0
회원가입
쪽지
포인트
스크랩
성예사
공지사항
등업신청
1:1문의
S코인
리워드이벤트
앱 공지사항
커뮤니티
성형관련수다방
코제거/재건 포럼
남자성형 포럼
난치성피부질환
내과/산부인과 포럼
심리/신경 포럼
익명수다방
수술회복실
고치면어때요?
예사마켓
체험단게시판
Global
성형후기
통합발품후기
코성형 수술후기
눈수술 수술후기
시력교정후기
윤곽/FACE 수술후기
양악/교정/치과 후기
가슴성형 수술후기
체형/바디성형 수술후기
쁘띠/레이저 후기
코제거/재건 수술후기
남자성형 후기
병원등록후기
성형실패&부작용사례
평판찾아삼만리
병원찾아삼만리
닥터찾아삼만리
시술찾아삼만리
교수찾아삼만리
수술찾아삼만리
질병후기삼만리
의약후기삼만리
건기식찾아삼만리
수술/견적가 검색
뷰티찾아삼만리
동물병원찾아삼만리
건기식찾아삼만리
OTT찾아삼만리
GYM찾아삼만리
동물병원 금액 검색
병원&닥터
병원이벤트 티켓
Doctors Blog
유튜브게시판
병원홈페이지 연동후기
원스탑견적받기
메디컬뉴스
전문의상담
라비앙성형외과
모디헤어플란트
성형자료실
연예인인명사전
로그인