성형수다
포토후기
병삼이
Life
실견적
이벤트
[상하안검] 엄마 상암검 수술 하셨엉!!
지유유율니
작성 25.10.31 15:44:41 조회 57
병원정보보기
아이디병원 ID Hospital



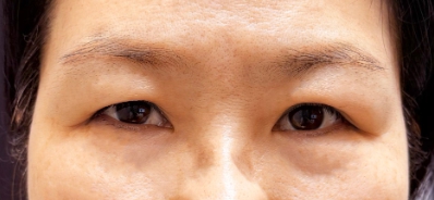
엄마 ㅇㅇㄷ에서 이문기쌤한테 상안검 수술하셨어! ㅎㅎ
수술은 수면마취로 진행했는데 생각보다 금방 끝나더라?
한 30분 좀 넘었던 거 같은데 괜히 밖에서 나 혼자 긴장하고 있었음ㅋㅋ
근데 금방 끝나서 어? 벌써 끝났어요? 이랬다니까 ㅎㅎ;;
처음엔 멍이 좀 있었는데 1~2주 지나니까 점점 자연스러워지고
지금은 한 달 정도 됐는데 눈 뜨는 것도 훨씬 편해지셨대^ ^
진짜 수술 시켜드리길 잘했다 싶은 게
표정이 훨씬 밝아지셨거든!
예전엔 눈이 좀 덮여 있어서 피곤해 보였는데
지금은 눈매도 또렷하고 웃을 때 라인도 예뻐서 완전 만족!!
약간 울상에서 웃상 되신 느낌이랄까? ㅎㅎ
요즘은 거울 보시면서 “이제야 내 눈 같네~” 이러시는데
그럴 때마다 괜히 내가 더 뿌듯하더라구 ㅎㅎ
병원에서 눈 뜰 때 불편한 부분이랑 라인 밸런스 잡으면서
두 번 고정해주는 방식이라고 하셨는데
그래서 그런지 결과가 진짜 더 자연스럽고 예쁜 것 같아!
이 후기는 자연미를 추구 하는 후기 입니다.
지유유율니님의 게시글 더보기
진심 하기전이 훨씬 보기좋아
25-10-31 16:53
[눈성형] 처진눈밑UP 하안검수술
#처진눈밑개선 #눈밑지방제거 #다크써클제거 #동안수술 #중년성형#인기성형
뷰티라인성형외과 서울 논현동
1,650,000
[눈성형] 슈가 눈재수술
슈가성형외과 자연유착 눈재수술 개인 맞춤 진료 수술플랜 수립!
슈가성형외과 서울 서초동
590,000
병원 이벤트 더보기
이 영역은 병원에서 등록한 광고 영역입니다.
ⓘ 광고
병원찾아삼만리
포토&후기
데이터삭제중
|
PC버전
|
로그인
|
문의및제휴
SUNGYESA
광고제휴sungyesacom@gmail.com
0
회원가입
쪽지
포인트
스크랩
  성예사
  커뮤니티
  성형후기
  평판찾아삼만리
  병원&닥터
  전문의상담
  성형자료실
로그인