LOGIN
발품노트
SUNGYESA
최근 검색어
닫기
성형수다
포토후기
병삼이
Life
실견적
이벤트
성예사
>
병원등록후기
목록
쓰기
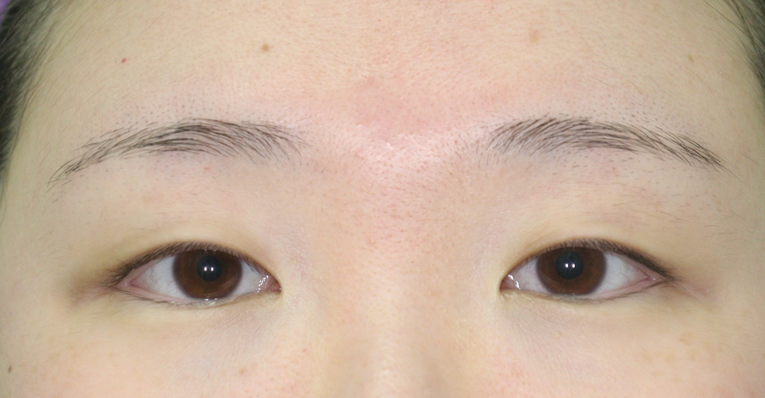
【쿠키성형외과】3D매몰 + 눈매교정_3개월
쿠키성형외과의원
작성
25.11.14 17:43:13
조회
940
글주소
3D매몰 + 눈매교정 3개월
쿠키성형외과
홈페이지 바로가기:
https://www.cookips.com/
카카오톡 상담/예약하기:
http://pf.kakao.com/_IjmtZ/chat
인스타그램 :
https://www.instagram.com/cooki_ps
유튜브 :
https://www.youtube.com/@cookiplasticsurgery1180/shorts
좋아요
0
공감이모티콘
눈수술
눈성형
눈매교정
매몰
이 후기를 스크랩하시겠습니까?
+
0
병원정보
쿠키성형외과의원
서울 강남구 테헤란로 105 9층
의사정보
Dr. 배주영
안과 전문의
연령대
20대 여성
경과기간
3개월
이 병원의 다른 등록후기
MORE
+2
3D광대+3D사각턱+3D턱끝(전진)_4개월
윤곽수술
안면윤곽
쿠키성형외과
18:55
조회
34
댓글
0
+2
【쿠키성형외과】3D광대+3D브이라인_3개월
윤곽수술
안면윤곽
쿠키성형외과
12:07
조회
1,355
댓글
0
+2
【쿠키성형외과】3D매몰재수술+눈매교정_1개월
눈재수술
눈성형
쿠키성형외과
11-13
조회
1,506
댓글
0
+2
【쿠키성형외과】3D매몰 + 눈매교정 + 앞트임_1개월
눈성형
눈수술
쿠키성형외과
11-12
조회
1,306
댓글
0
+2
【쿠키성형외과】3D광대 + 3D사각턱 + 3D턱끝_4개월
윤곽수술
윤곽3종
쿠키성형외과
11-12
조회
1,861
댓글
0
쿠키성형외과의원 병원등록후기 더보기
비밀댓글
비밀글은 본인 외 3자에게 공개하지 않음을 상호 약정한 댓글입니다.
[가슴성형] ☆멘토 메모리겔_가슴성형은 김국현 대표원장
☏전화 상담 예약 *02-515-3003* ▷카카오톡상담 "@휴먼성형외과"
휴먼성형외과 서울 논현동
8,800,000
원
[코성형] [코성형] 마인드 자려한 코성형
마인드에서는 나에게 어울리는 코 라인으로 ok #자연스러운라인 #화려한라인 #자려한라인
마인드성형외과 서울 반포동
1,639,000
원
병원 이벤트 더보기
이 영역은 병원에서 등록한 광고 영역입니다.
ⓘ 광고
데이터삭제중
|
PC버전
|
로그인
|
문의및제휴
SUNGYESA
광고제휴
sungyesacom@gmail.com
로그인 해주세요.
0
회원가입
쪽지
포인트
스크랩
성예사
공지사항
등업신청
1:1문의
S코인
리워드이벤트
앱 공지사항
커뮤니티
성형관련수다방
코제거/재건 포럼
남자성형 포럼
난치성피부질환
내과/산부인과 포럼
심리/신경 포럼
익명수다방
수술회복실
고치면어때요?
예사마켓
체험단게시판
Global
성형후기
통합발품후기
코성형 수술후기
눈수술 수술후기
시력교정후기
윤곽/FACE 수술후기
양악/교정/치과 후기
가슴성형 수술후기
체형/바디성형 수술후기
쁘띠/레이저 후기
코제거/재건 수술후기
남자성형 후기
병원등록후기
성형실패&부작용사례
평판찾아삼만리
병원찾아삼만리
닥터찾아삼만리
시술찾아삼만리
교수찾아삼만리
수술찾아삼만리
질병후기삼만리
의약후기삼만리
건기식찾아삼만리
수술/견적가 검색
뷰티찾아삼만리
동물병원찾아삼만리
건기식찾아삼만리
OTT찾아삼만리
GYM찾아삼만리
동물병원 금액 검색
병원&닥터
병원이벤트 티켓
Doctors Blog
유튜브게시판
병원홈페이지 연동후기
원스탑견적받기
메디컬뉴스
전문의상담
라비앙성형외과
모디헤어플란트
성형자료실
연예인인명사전
로그인